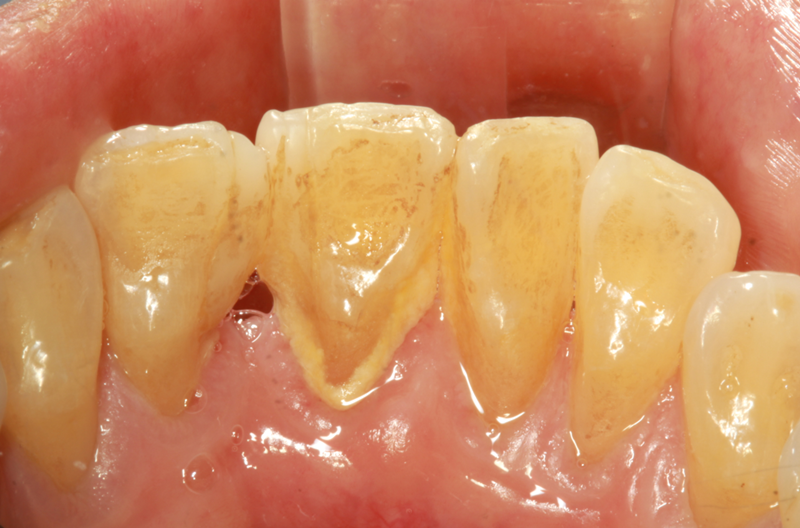
치석은 치아의 외부 표면에 달라붙는 딱딱한 침전물입니다. 플라그는 치아 표면에 달라붙어 딱딱하게 만드는 박테리아의 막입니다. 입안의 음식물을 제때 제거하지 않으면 치석이 됩니다. 플라그는 박테리아와 음식물 입자가 치아와 잇몸 사이에 끼이는 것입니다. 시간이 지남에 따라 굳어진 이 플라크를 치석이라고 합니다. 타액의 칼슘과 인 성분은 플라크에 결합하여 경화시킵니다. 그렇기 때문에 잇몸, 가급적이면 침샘이 있는 아랫잇몸에 달라붙습니다. 치석이라면 양치질로 제거할 수 있지만, 치석은 양치질만으로는 빠지지 않으므로 치석 제거 방법을 반드시 숙지하셔야 합니다.

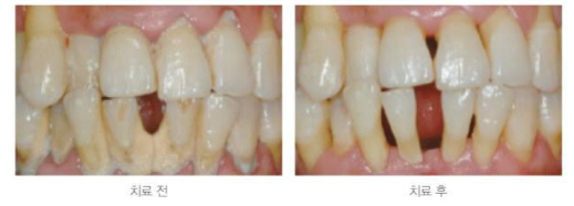
플라그와 치석은 치료하지 않고 방치하면 잇몸에 악영향을 미칠 수 있습니다. 잇몸이 붓거나 피가 나는 상태인 치은염이 발생할 수 있으며, 오래 지속되면 잇몸뼈도 무너질 수 있습니다. 또한 치아가 흔들리거나 잇몸이 무너지는 경우 음식물이 더 잘 들러붙어 심해질 수 있으며, 치료를 하지 않고 방치하면 치아를 발치해야 하는 경우도 있습니다. 치석은 치아 표면에 달라붙어 보기에 좋지 않을 수 있지만, 거기에 그치지 않고 잇몸질환과 입냄새를 유발하기도 합니다. 따라서 치석을 제거하고 플라크 또는 치석을 제때 관리하는 방법을 배우는 것이 올바른 방법입니다.
치석을 제거하는 방법은 주기적인 관리가 필요합니다. 조기에 발견하면 쉽게 제거할 수 있습니다. 하지만 시간이 지날수록 상태가 악화되기 때문에 불편함이 없더라도 치석제거술을 꾸준히 받는 것이 중요합니다. 6개월 정도의 주기로 받는 것이 일반적이나 사람마다 치석 주기는 다를 수 있습니다. 치석이 잘 나시는 분이라면 3개월 주기로 관리도 가능합니다. 양치질은 치석을 제거하기 어려우므로 치석 제거 관리 중에 하시는 것이 가장 좋습니다. 잇몸질환이 생기면 피가 많이 나고 통증이 있을 수 있지만 이는 자연스러운 현상입니다.

치석을 제거하는 방법에 관해서는 올바른 생활 습관을 갖는 것도 중요합니다. 조심스럽게 양치하는 습관을 들이는 것이 좋으며 치실이나 치간칫솔이 도움이 될 수 있습니다. 불소는 또한 치아를 강화하는 데 사용됩니다. 식사나 간식을 먹은 후 이를 닦고 정기적인 진단을 받는 것이 예방의 첫 단계가 될 수 있습니다. 이미 치아가 떨리거나 피가 난다면 치료를 받기 전에 내원하여 상담을 받는 것이 가장 좋습니다. 관리가 늦어지면 돌이킬 수 없는 상황에 직면할 수 있으니 빠른 시일 내에 병원에 내원하셔서 자신의 상태를 파악하고 적절한 치료를 받으시기를 권해드립니다.
![]()


![]()

